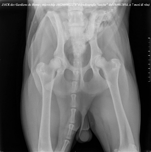
Jack Des Gardiens De Rome
mâle
Berger de Beauce
né le
15/01/2014

Informations sur Jack Des Gardiens De Rome
| Sexe | Mâle |
| Couleur | NOIR ET FEU |
| Puce | 380260002227874 |
| Inscrit au LOF ? | Italie |
| N° origine | LOI 1444213 |
| Statut | Retraité |
Les parents
Palmares de Jack Des Gardiens De Rome
GIOVANE PROMESSA SOCIALE 2014


