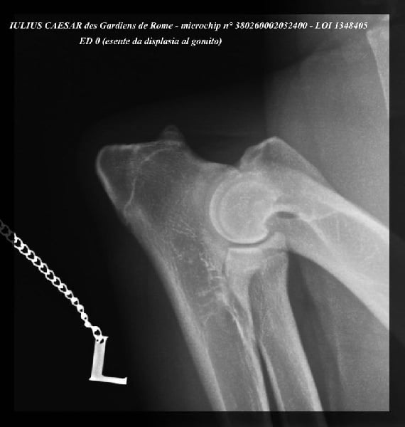
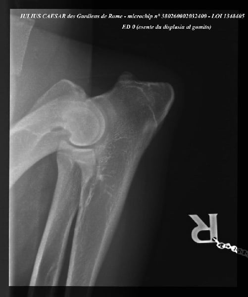
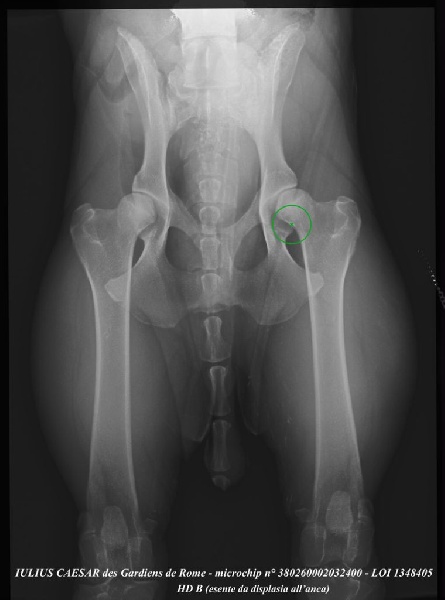
CH. Iulius caesar Des Gardiens De Rome
mâle
Berger de Beauce
né le
28/01/2013

Informations sur CH. Iulius caesar Des Gardiens De Rome
| Sexe | Mâle |
| Couleur | Noir et Feu |
| Puce | 380260002032400 |
| Inscrit au LOF ? | Italie |
| N° origine | LOI 1348405 |
| Statut | Retraité |
Les parents
Les résultats de CH. Iulius caesar Des Gardiens De Rome
1er Excellent - Classe ouverte - CAC - RCACIB
27 / 05 / 2018 - EXPOSITION INTERNATIONALE
Ville: RENDE - INTERNATIONALE - SPECIALE DE RACE - Juge : Maria Teresa Gabrielli
1er Excellent - Classe ouverte - CAC - RCACIB
13 / 05 / 2018 - INTERNATIONALE DE RIETI
Ville: RIETI - INTERNATIONALE - Juge : Lazic Suncica (SRB)

