CH. Hero Des Gardiens De Rome
mâle
Berger de Beauce
né le
28/07/2011

Informations sur CH. Hero Des Gardiens De Rome
| Sexe | Mâle |
| Couleur | Noir et Feu |
| Puce | 380260000663040 |
| Inscrit au LOF ? | Italie |
| N° origine | LOI 11139462 |
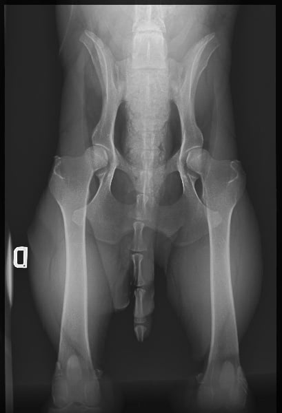
| Tares |
DENTITION COMPLETE EN CISAILLE : DENTITION COMPLETE EN CISAILLE INDEMNE DE DYSPLASIE : DYSPLASIE A PAS DE MANQUE DE DENTS : DENTITION COMPLETE |
| Statut | Retraité |
Les parents
Palmares de CH. Hero Des Gardiens De Rome
CAMPIONE SOCIALE 2012 - GIOVANI MASCHI
CAMPIONE ITALIANO DI BELLEZZA 2013
CAMPIONE SOCIALE 2014
CAMPIONE ITALIANO RIPRODUTTORE
RIPRODUTTORE SELEZIONATO ENCI
CANT
CAE 1 (tes caratteriale)


